image play video
  • 2026/03/15公開
  • 村山信雄
    犬と猫の皮膚科 代表
    村山信雄
    帯広畜産大学畜産学部獣医学科を卒業後、北海道農業共済組合や大阪・北海道の動物病院での勤務を行う。 2010年にアジア獣医皮膚科専門医を取得。2012年には岐阜大学連合大学院にて博士(獣医学)を取得し、犬と猫の皮膚科を設立。2016年に犬と猫の皮膚科クリニックを東京都江東区に開院し、現在に至る。

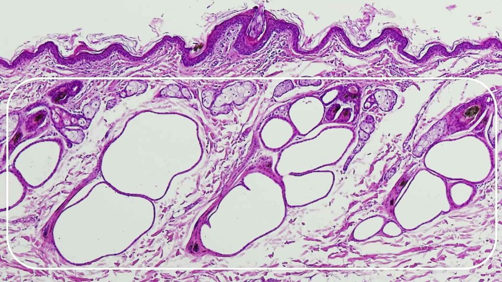
ヨークシャーテリアの脂漏性体質

ヨークシャーテリアの掻痒症例では、皮膚糸状菌症に加え体質性脂漏が高頻度に認められます。本犬種の重度なべとつきは、単なる機能的(原発性)脂漏では説明困難な例があり、病理学的に脂腺数・サイズの増加を伴う構造的脂漏、すなわち特発性汎発性脂腺過形成に類似した所見を示します。治療は物理的脱脂を基本とし、過酸化ベンゾイル相当の高脱脂シャンプーを活用します。加えて脂質分泌抑制目的にグルココルチコイド導入後、シクロスポリン5mg/kg SIDを併用し維持管理を行います。犬種特異的病態として長期的視点での治療戦略構築が重要です。

「皮膚」シリーズ ヨークシャテリア × 皮膚糸状菌

-Part1-

痒みの診断

-Part2-

皮膚糸状菌

-Part3-

あぶら症

-Part4-

多汗症

「皮膚」シリーズ 柴犬 × 犬アトピー性皮膚炎

口囲と四肢端の痒み

2歳齢/避妊雌

左右差がある眼囲の痒み

1歳齢/避妊雌

眼囲の痒みと腹部の苔癬化

4歳齢/去勢雄

口囲と眼囲と四肢端の痒み

6歳齢/去勢雄

痒みと前胸部のべとべと

2歳齢/避妊雌

※当サイトに掲載される全ての動画、画像、ハンドアウト内⽂章および画像について個⼈使⽤以外の⼀切の⾏為(転写・複製・譲渡・WEB掲載等)を禁じます

関連動画

皮膚
image image 犬種からみた痒みの評価[ヨークシャテリア編]3
村山信雄
犬種からみた痒みの評価[ヨークシャテリア編]3
ヨークシャーテリアの掻痒症例では、皮膚糸状菌症に加え体質性脂漏が高頻度に認められます。本犬種の重度な“べとつき”は、単なる機能的(原発性)脂漏では説明困難な例があり、病理学的に脂腺数・サイズの増加を伴う構造的脂漏、すなわち特発性汎発性脂腺過形成に類似した、、、
皮膚
image image 犬種からみた痒みの評価[ヨークシャテリア編]4
村山信雄
犬種からみた痒みの評価[ヨークシャテリア編]4
ヨークシャーテリアの「べとべと」と痒みは、前回述べた構造的脂漏(脂腺過形成)だけでなく、多汗症が関与する場合がある。特に高齢例では、洗浄直後から再び湿潤し、独特の臭気を伴う強い痒みが特徴的である。病理検査ではアポクリン汗腺の著明な拡大が確認され、過剰な発汗が、、、
皮膚
image image 犬種からみた痒みの評価[ヨークシャテリア編]2
村山信雄
犬種からみた痒みの評価[ヨークシャテリア編]2
ヨークシャーテリアでは皮膚糸状菌症の典型的な円形脱毛だけでなく、結節性病変として発症するケルスス禿瘡(ケリオン)にも注意が必要です。真皮内で感染毛を中心に好中球・マクロファージが浸潤し、化膿性肉芽腫を形成するため、ウッド灯や表層搔爬では検出困難な、、、
皮膚
image image 犬種からみた痒みの評価[ヨークシャテリア編]1
村山信雄
犬種からみた痒みの評価[ヨークシャテリア編]1
ヨークシャーテリアの遠心性に拡大する脱毛斑、まず膿皮症と判断していませんか?掻痒に先行する境界明瞭な脱毛、辺縁の鱗屑・丘疹・紅斑――その所見、本当にブドウ球菌性病変でしょうか。実は本犬種は皮膚糸状菌症との親和性が高く、典型的膿皮症様病変でも、、、
皮膚
image image 診断力で克服!猫のかゆみ診療〜Part4〜「アレルギー性の診断」
澤由貴
診断力で克服!猫のかゆみ診療〜Part4〜「アレルギー性の診断」
本講義では、粟粒性皮膚炎を呈した猫の実症例をもとに、アレルギー性皮膚炎の診断プロセスを実践的に解説します。寄生虫・皮膚糸状菌症を除外した後、被毛検査と押捺塗抹検査で「裂毛」「好酸球性炎症」の有無を確認し、アレルギーを強く疑うポイントを整理。IgE検査は補助的であり、、、、
皮膚
image image 診断力で克服!猫のかゆみ診療〜Part5〜「その他に多い皮膚病編」
澤由貴
診断力で克服!猫のかゆみ診療〜Part5〜「その他に多い皮膚病編」
全5回の講義ラストは、頭頸部搔爬痕や肢端好酸球性肉芽腫、落葉状天疱瘡、ボーエン様上皮内癌など、猫でアレルギー性皮膚炎と誤診されやすい疾患を症例を通して学びます。寄生虫・皮膚糸状菌症の除外後、押捺塗抹検査や皮膚生検で好酸球や好中球の炎症パターンを確認、2次感染の評価も、、、