- 2024/08/20公開
眼科
バンテージコンタクトレンズ入門セミナー1〜バンテージコンタクトレンズの基本〜
関連動画
眼科
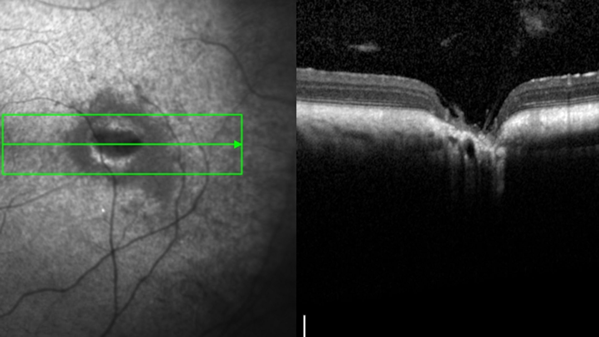
次世代の眼科デバイス「OCT」を理解する〜Part4(後編)〜「後眼部疾患へのOCTの応用」
次世代の眼科デバイス「OCT」を理解する〜Part4(後編)〜「後眼部疾患へのOCTの応用」小松 紘之
次世代の眼科デバイス「OCT」を理解する〜Part4(後編)〜「後眼部疾患へのOCTの応用」
後編では、「前編」で解説した網膜評価を踏まえ、OCTを用いた「視神経疾患の評価」に焦点を当てて解説します。視神経炎では、肉眼や眼底検査では判断が難しい軽度〜中等度の腫脹や、病変部位・炎症の程度による多様な形態変化を、OCTがどのように捉えるのかを症例ベースで提示します。特に、、、
眼科
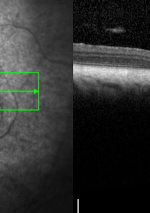
次世代の眼科デバイス「OCT」を理解する〜Part4(前編)〜「後眼部疾患へのOCTの応用」
次世代の眼科デバイス「OCT」を理解する〜Part4(前編)〜「後眼部疾患へのOCTの応用」小松 紘之
次世代の眼科デバイス「OCT」を理解する〜Part4(前編)〜「後眼部疾患へのOCTの応用」
第1回〜第3回では、OCTの原理と前眼部疾患への応用を通じて、「非侵襲的に生体組織を層構造として捉える」OCTの基本的な考え方を整理してきました。今回、後眼部編ではその理解を土台に、獣医臨床で最も関心の高い網膜・視神経疾患への応用に踏み込みます。正常網膜・視神経のOCT所見を、、、
眼科
次世代の眼科デバイス「OCT」を理解する〜Part3(後編)〜「前眼部疾患へのOCTの応用」
次世代の眼科デバイス「OCT」を理解する〜Part3(後編)〜「前眼部疾患へのOCTの応用」小松 紘之
次世代の眼科デバイス「OCT」を理解する〜Part3(後編)〜「前眼部疾患へのOCTの応用」
後編となる今回は、結膜・強膜・隅角・虹彩・水晶体といった前眼部深部構造に対し、OCTがどこまで臨床応用できるのかを、SD-OCTとSS-OCTの描出力の違いを軸に解説します。特に強膜病変ではSD-OCTでは描出が浅層に限られる一方、SS-OCTでは胸膜前層から虹彩まで観察可能となり、腫瘍性か、、、
眼科
次世代の眼科デバイス「OCT」を理解する〜Part3(前編)〜「前眼部疾患へのOCTの応用」
次世代の眼科デバイス「OCT」を理解する〜Part3(前編)〜「前眼部疾患へのOCTの応用」小松 紘之
次世代の眼科デバイス「OCT」を理解する〜Part3(前編)〜「前眼部疾患へのOCTの応用」
第3回となる今回は、前眼部疾患におけるOCT応用の「実践編」に踏み込み、角膜・結膜・強膜・虹彩・水晶体といった前眼部構造が、OCTによってどこまで描出できるのかを、実例を用いて詳細に解説します。角膜の層構造を病理像レベルで視認できるOCTの解像度を起点に、角膜潰瘍の深達度評価、、、
眼科
次世代の眼科デバイス「OCT」を理解する〜Part2〜「獣医臨床での撮影方法」
次世代の眼科デバイス「OCT」を理解する〜Part2〜「獣医臨床での撮影方法」小松 紘之
次世代の眼科デバイス「OCT」を理解する〜Part2〜「獣医臨床での撮影方法」
第2回では、獣医臨床でのOCT撮影方法について解説します。人医療ではOCTは黄斑疾患や緑内障などの診断・治療判定に欠かせない存在で、年間6000件以上の関連論文が出るほど重要性が高まっています。一方、獣医領域で普及が進まない理由として、装置価格の高さ、動物の固定や固視が難しいこと、、、
眼科
次世代の眼科デバイス「OCT」を理解する〜Part1〜「OCTの原理と眼科臨床の応用」
次世代の眼科デバイス「OCT」を理解する〜Part1〜「OCTの原理と眼科臨床の応用」小松 紘之
次世代の眼科デバイス「OCT」を理解する〜Part1〜「OCTの原理と眼科臨床の応用」
本シリーズでは、獣医眼科診療におけるOCT(光干渉断層撮影)の基礎から応用までを4回にわたり解説します。第1回となる今回は、「OCTの原理と眼科臨床への応用」をテーマに、まずOCTとは何か、どのような仕組みで組織を描出しているのかを分かりやすくご紹介します。OCTは、、、


