image play video
  • 2026/01/01公開
  • 小松 紘之
    アニマルアイケア・東京動物眼科醫院
    小松 紘之
    麻布大学獣医学科を卒業後、獣医眼科専門医に師事し、勤務医として研鑽を積んだ後、2018年よりアニマルアイケア・東京動物眼科醫院に所属。2024年に東京医科大学大学院医学研究科眼科学専攻博士課程を修了し、翌年、東京医科大学眼科学分野の非常勤講師に就任。同年、米国ボストンの Harvard Medical School, Boston Children’s Hospital にて Postdoctoral Fellow として勤務。これまで、犬および猫の緑内障や視神経炎に着目した OCT 画像解析を行っており、現在もアニマルアイケア・東京動物眼科醫院と連携しながら、日本から OCT の知見を世界へ発信すべく、日々研鑽を積んでいる。

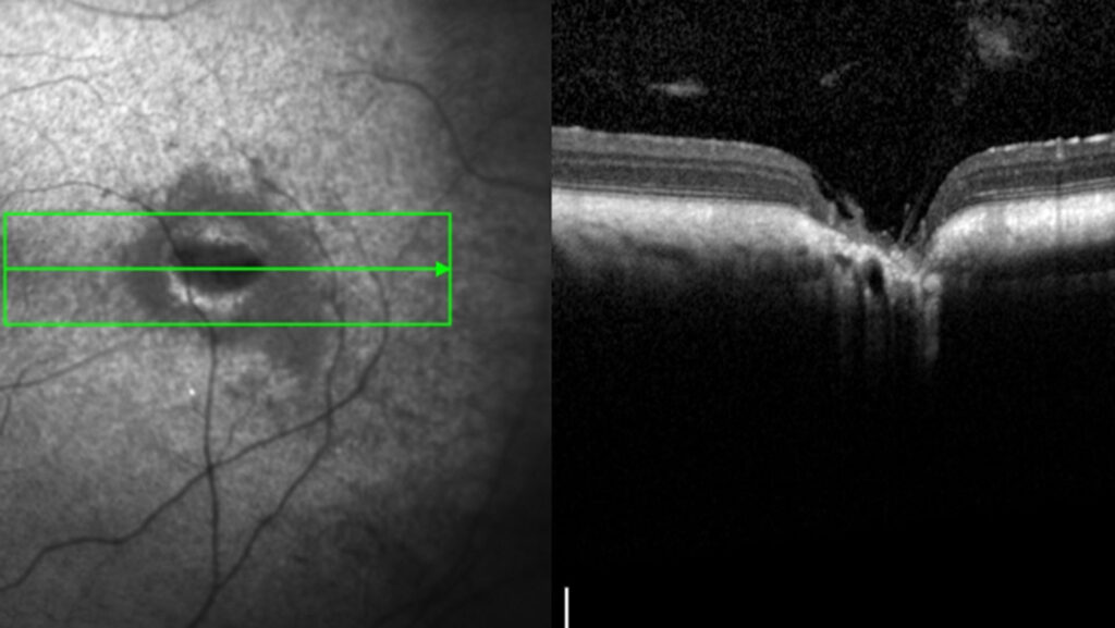
OCTで見える眼底の先!

第1回〜第3回では、OCTの原理と前眼部疾患への応用を通じて、「非侵襲的に生体組織を層構造として捉える」OCTの基本的な考え方を整理してきました。今回、後眼部編ではその理解を土台に、獣医臨床で最も関心の高い網膜・視神経疾患への応用に踏み込みます。正常網膜・視神経のOCT所見を病理像と対比し、各層構造がどこまで忠実に描出されるのかを確認したうえで、緑内障、進行性網膜萎縮(PRA)、網膜裂孔・剥離、糖尿病性網膜症疑い症例など、眼底検査のみでは評価が困難な微細病変をOCTがいかに可視化するかを症例ベースで解説します。さらにSARDSにおけるEllipsoid zoneの消失や外顆粒層菲薄化といった特徴的所見にも言及し、ERGに先立つ診断補助としてのOCTの位置づけを考察します。前編で学んだ「OCTの読み方」が、後眼部疾患の理解と臨床判断にどう結びつくのかを実感できる内容です。

次世代の眼科デバイス「OCT」を理解する (Part1〜4)

- Part1-

OCTの原理と眼科臨床の応用

- Part3(前編)-

前眼部疾患へのOCTの応用

- Part4(前編)-

後眼部疾患へのOCTの応用

- Part2 -

獣医臨床での撮影方法

- Part3(後編)-

前眼部疾患へのOCTの応用

- Part4(後編)-

後眼部疾患へのOCTの応用

※当サイトに掲載される全ての動画、画像、ハンドアウト内⽂章および画像について個⼈使⽤以外の⼀切の⾏為(転写・複製・譲渡・WEB掲載等)を禁じます

関連動画

眼科
image image 次世代の眼科デバイス「OCT」を理解する〜Part4(後編)〜「後眼部疾患へのOCTの応用」
小松 紘之
次世代の眼科デバイス「OCT」を理解する〜Part4(後編)〜「後眼部疾患へのOCTの応用」
後編では、「前編」で解説した網膜評価を踏まえ、OCTを用いた「視神経疾患の評価」に焦点を当てて解説します。視神経炎では、肉眼や眼底検査では判断が難しい軽度〜中等度の腫脹や、病変部位・炎症の程度による多様な形態変化を、OCTがどのように捉えるのかを症例ベースで提示します。特に、、、
眼科
image image 次世代の眼科デバイス「OCT」を理解する〜Part4(前編)〜「後眼部疾患へのOCTの応用」
小松 紘之
次世代の眼科デバイス「OCT」を理解する〜Part4(前編)〜「後眼部疾患へのOCTの応用」
第1回〜第3回では、OCTの原理と前眼部疾患への応用を通じて、「非侵襲的に生体組織を層構造として捉える」OCTの基本的な考え方を整理してきました。今回、後眼部編ではその理解を土台に、獣医臨床で最も関心の高い網膜・視神経疾患への応用に踏み込みます。正常網膜・視神経のOCT所見を、、、
眼科
image image 次世代の眼科デバイス「OCT」を理解する〜Part3(後編)〜「前眼部疾患へのOCTの応用」
小松 紘之
次世代の眼科デバイス「OCT」を理解する〜Part3(後編)〜「前眼部疾患へのOCTの応用」
後編となる今回は、結膜・強膜・隅角・虹彩・水晶体といった前眼部深部構造に対し、OCTがどこまで臨床応用できるのかを、SD-OCTとSS-OCTの描出力の違いを軸に解説します。特に強膜病変ではSD-OCTでは描出が浅層に限られる一方、SS-OCTでは胸膜前層から虹彩まで観察可能となり、腫瘍性か、、、
眼科
image image 次世代の眼科デバイス「OCT」を理解する〜Part3(前編)〜「前眼部疾患へのOCTの応用」
小松 紘之
次世代の眼科デバイス「OCT」を理解する〜Part3(前編)〜「前眼部疾患へのOCTの応用」
第3回となる今回は、前眼部疾患におけるOCT応用の「実践編」に踏み込み、角膜・結膜・強膜・虹彩・水晶体といった前眼部構造が、OCTによってどこまで描出できるのかを、実例を用いて詳細に解説します。角膜の層構造を病理像レベルで視認できるOCTの解像度を起点に、角膜潰瘍の深達度評価、、、
眼科
image image 次世代の眼科デバイス「OCT」を理解する〜Part2〜「獣医臨床での撮影方法」
小松 紘之
次世代の眼科デバイス「OCT」を理解する〜Part2〜「獣医臨床での撮影方法」
第2回では、獣医臨床でのOCT撮影方法について解説します。人医療ではOCTは黄斑疾患や緑内障などの診断・治療判定に欠かせない存在で、年間6000件以上の関連論文が出るほど重要性が高まっています。一方、獣医領域で普及が進まない理由として、装置価格の高さ、動物の固定や固視が難しいこと、、、
眼科
image image 次世代の眼科デバイス「OCT」を理解する〜Part1〜「OCTの原理と眼科臨床の応用」
小松 紘之
次世代の眼科デバイス「OCT」を理解する〜Part1〜「OCTの原理と眼科臨床の応用」
本シリーズでは、獣医眼科診療におけるOCT(光干渉断層撮影)の基礎から応用までを4回にわたり解説します。第1回となる今回は、「OCTの原理と眼科臨床への応用」をテーマに、まずOCTとは何か、どのような仕組みで組織を描出しているのかを分かりやすくご紹介します。OCTは、、、